Vol. 1, No. 1
March 1999
Contributor

Working Notes

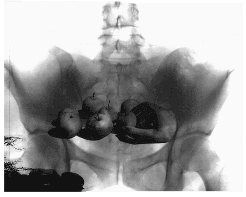
I took the photos of my hand and the apples and the coast of Maine almost twenty years ago. I'd taken and developed many rolls of black and white film of that beautiful coastline, a lily pond, state fair and made contact sheets, but never printed them. I'd had it in mind for years to print them and did a couple weeks ago when thinking about "A Translation of Spaces" -- the theme of HOW2's first issue. How curious to see photos of myself young, thin, and shy. Somehow it made this time of staying still more possible -- seeing how vulnerable I looked then. There were pictures of my father in his studio, cutting mats in his precise, graceful way. An old boyfriend, smoking a cigar, reading the racing form. I'd wanted to use the photos of the lily pond in the frame of the pelvis but they weren't distinct enough from each other to be meaningful. I've made several copies of the x-ray and will try a series.

I've had to work on it bit-by-bit -- the positive of the x-ray is mine; a swollen disk and displaced sciatic nerve has kept me mostly on my back for a few weeks. I have to plan each little trip to photolab or xerox store. Standing for more than ten minutes is no good -- sitting for more than half an hour isn't good either. It's nothing permanent, only painful if I overdo, and a little "nerve wracking."

Wandering, ghostly, staying still

a collage featuring an x-ray of a pelvis with a photograph of apples and hand